新規患者様受け入れにつきまして(再開)

昨年より新規患者様の受け入れを中断しておりましたが、このたび再開することとなりました。

つきましては相談料の改定を行いましたので、治療費のページでご確認ください。

ご予約はオンラインでもお電話でも可能です。

よろしくお願いいたします。

ティースマイル矯正歯科 藤田 正

新規患者様受け入れにつきまして

院長の藤田です。

当院は現在開院しておよそ12年になりますが、おかげさまで多くの患者様にご来院いただいております。ありがとうございます。これまで当院を支えていただいた方々には感謝の思いでいっぱいです。

しかしながら一方で、通院中の患者様のご予約が難しくなっていることも同時に感じております。

つきましては、2025年9月1日(月)以降、新規患者様のご相談、検査、診断のご予約は、医療機関からの紹介状をお持ちの方、当院患者様のご家族の方のみとさせていただきます。なお、ホームページからの初診オンライン予約はできなくなりますので、当院受付もしくはお電話でご予約ください。再診のオンライン予約は今まで通り可能です。

よろしくお願いいたします。

ティースマイル矯正歯科 院長 藤田 正

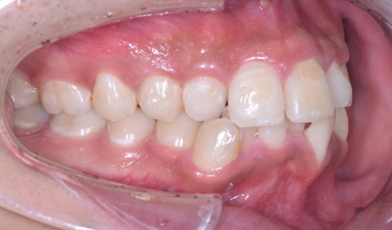
症例50 口元を下げたい

・治療前

・治療後

①主訴 口元を下げたい

②診断名 前歯部叢生を伴う上下顎前突 Angle Cl. I

③年齢 20代女性

④治療に用いた主な装置 上顎:表側の装置、下顎:表側の装置

⑤抜歯部位 上顎:左右第一小臼歯 下顎:左右第一小臼歯

⑥治療期間 2年0か月

⑦治療費 850,000円

⑧リスク副作用 痛み・治療後の後戻り・歯根吸収・歯髄壊死・歯肉退縮などが一般的なリスクと副作用です。

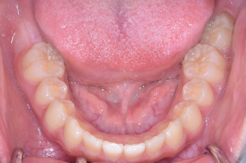
症例49 叢生症例

・治療前

・治療後

①主訴 歯ならびが悪い

②診断名 前歯部叢生 Angle Cl. I

③年齢 20代女性

④治療に用いた主な装置 上顎:表側の装置、下顎:表側の装置

⑤抜歯部位 上顎:左右第一小臼歯 下顎:左右第一小臼歯

⑥治療期間 1年10か月

⑦治療費 850,000円

⑧リスク副作用 痛み・治療後の後戻り・歯根吸収・歯髄壊死・歯肉退縮などが一般的なリスクと副作用です。

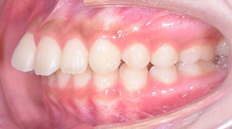
症例48 叢生症例

・治療前

・治療後

①主訴 歯ならびが悪い

②診断名 前歯部叢生 Angle Cl. II

③年齢 20代女性

④治療に用いた主な装置 上顎:表側の装置、下顎:表側の装置

⑤抜歯部位 上顎:左右第一小臼歯 下顎:左右第二小臼歯

⑥治療期間 1年9か月

⑦治療費 850,000円

⑧リスク副作用 痛み・治療後の後戻り・歯根吸収・歯髄壊死・歯肉退縮などが一般的なリスクと副作用です。

症例47 ハーフリンガル上顎犬歯埋伏

・治療前

・治療後

①主訴 歯ならびが悪い

②診断名 上顎右側犬歯埋伏を伴う前歯部叢生 Angle Cl. II

③年齢 20代男性

④治療に用いた主な装置 ハーフリンガル(上顎:裏側の装置、下顎:表側の装置)

⑤抜歯部位 上顎:右側犬歯、左側第一小臼歯 下顎:右側第一小臼歯、左側第二小臼歯

⑥治療期間 2年6か月

⑦治療費 1,150,000円

⑧リスク副作用 痛み・治療後の後戻り・歯根吸収・歯髄壊死・歯肉退縮などが一般的なリスクと副作用です。

症例46 ハーフリンガル叢生 大臼歯関係左右差あり

・治療前

・治療後

①主訴 歯ならびが悪い

②診断名 前歯部叢生 L: Angle Cl. I R: Angle Cl. II

③年齢 20代女性

④治療に用いた主な装置 ハーフリンガル(上顎:裏側の装置、下顎:表側の装置)

⑤抜歯部位 上顎:右側第一小臼歯 下顎:非抜歯

⑥治療期間 1年3か月

⑦治療費 1,150,000円

⑧リスク副作用 痛み・治療後の後戻り・歯根吸収・歯髄壊死・歯肉退縮などが一般的なリスクと副作用です。

症例45 叢生を伴う上下顎前突

・治療前

・治療後

①主訴 口元を下げたい 歯ならびが悪い

②診断名 前歯部叢生を伴う上下顎前突 Angle Cl. I

③年齢 20代女性

④治療に用いた主な装置 上顎:表側の装置 下顎:表側の装置

⑤抜歯部位 上顎:左右第一小臼歯 下顎:左右第一小臼歯

⑥治療期間 2年5か月

⑦治療費 850,000円

⑧リスク副作用 痛み・治療後の後戻り・歯根吸収・歯髄壊死・歯肉退縮などが一般的なリスクと副作用です。

症例44 ハーフリンガル上顎前突 埋伏大臼歯開窓牽引

・治療前

・治療後

①主訴 歯ならびが悪い

②診断名 前歯部叢生を伴う上顎前突 右下7埋伏

③年齢 10代女性

④治療に用いた主な装置 ハーフリンガル(上顎:裏側の装置、下顎:表側の装置)

⑤抜歯部位 上顎:左右第一小臼歯 下顎:非抜歯

⑥治療期間 1年10か月

⑦治療費 1,150,000円

⑧リスク副作用 痛み・治療後の後戻り・歯根吸収・歯髄壊死・歯肉退縮などが一般的なリスクと副作用です。

症例43 叢生を伴う上下顎前突

・治療前

・治療後

①主訴 歯ならびが悪い 口元を下げたい

②診断名 前歯部叢生 Angle Cl. I~II

③年齢 20代女性

④治療に用いた主な装置 上顎:表側の装置 下顎:表側の装置

⑤抜歯部位 上顎:左右第一小臼歯 下顎:左側第二小臼歯、右側第一小臼歯

⑥治療期間 2年2か月

⑦治療費 850,000円

⑧リスク副作用 痛み・治療後の後戻り・歯根吸収・歯髄壊死・歯肉退縮などが一般的なリスクと副作用です。