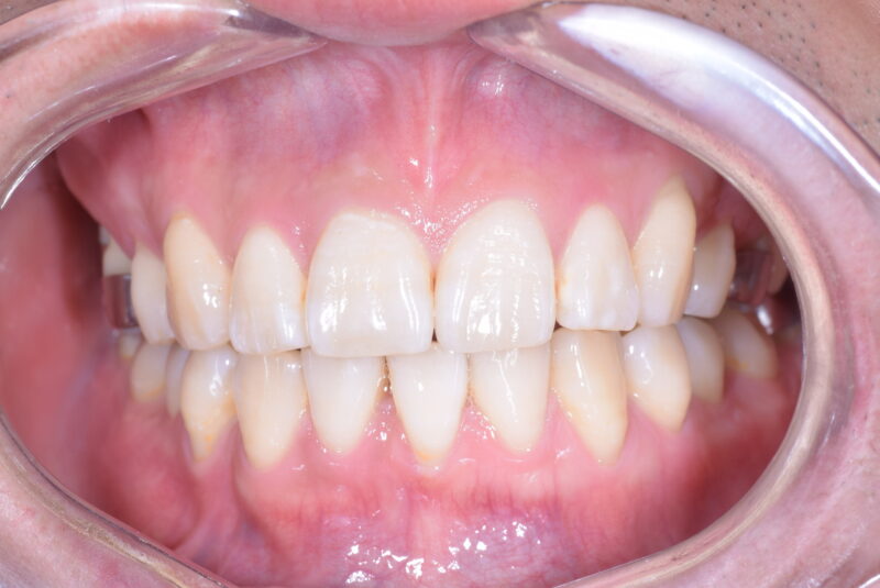
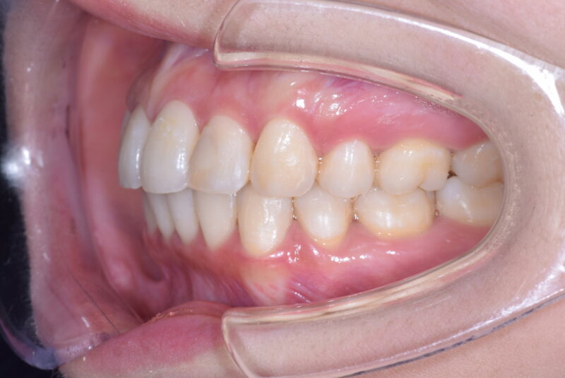
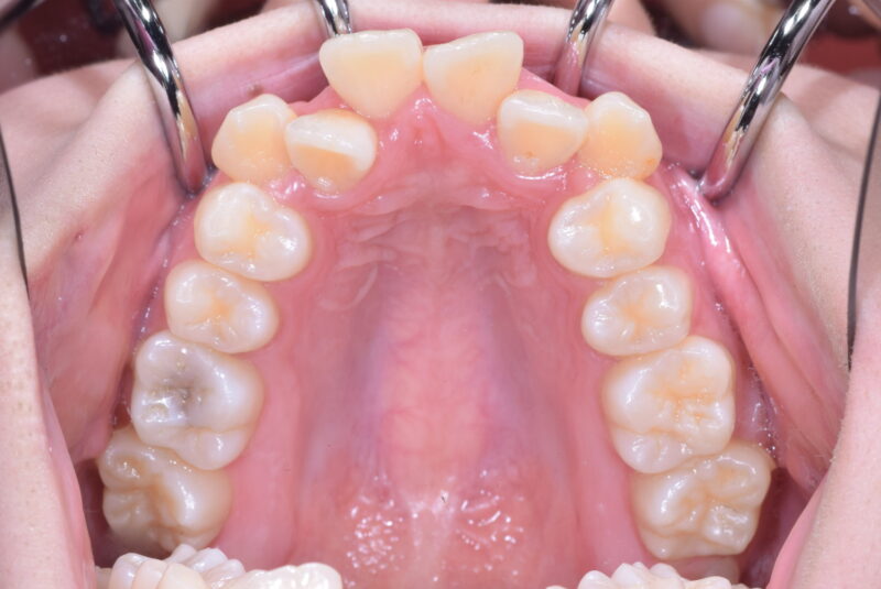
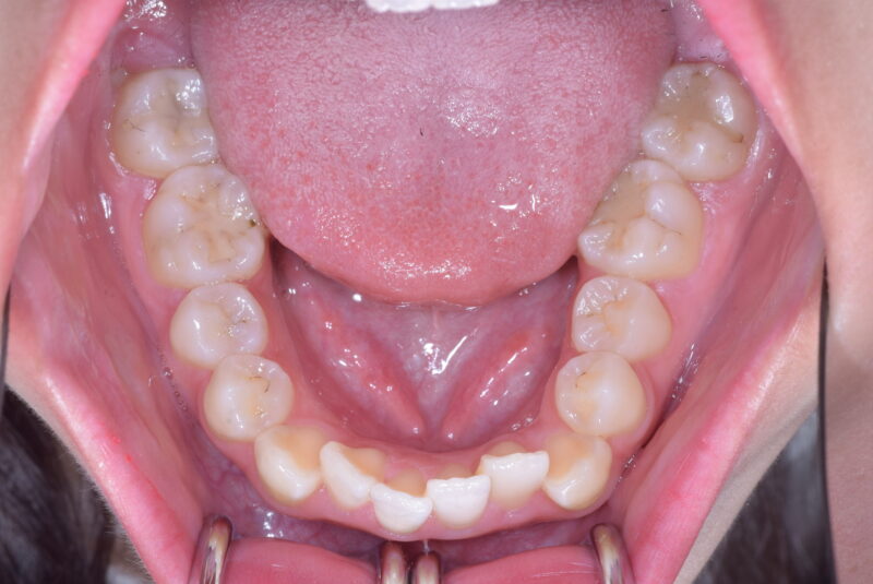
症例32 部分的な矯正治療

・治療前

・治療中

・治療後

①主訴 歯ならびが悪い

②診断名 前歯部叢生 Angle Cl. I

③年齢 20代女性

④治療に用いた主な装置 上顎6前歯:表側の装置

⑤抜歯部位 非抜歯

⑥治療期間 4か月

⑦治療費 400,000円

⑧リスク副作用 痛み・治療後の後戻り・歯根吸収・歯髄壊死・歯肉退縮などが一般的なリスクと副作用です。

症例31 前歯部叢生

・治療前

・治療後

①主訴 歯ならびが悪い

②診断名 前歯部叢生 Angle Cl. II

③年齢 20代女性

④治療に用いた主な装置 上顎:表側の装置、下顎:表側の装置

⑤抜歯部位 上顎:左右第一小臼歯 下顎:左右第一小臼歯

⑥治療期間 2年2か月

⑦治療費 850,000円

⑧リスク副作用 痛み・治療後の後戻り・歯根吸収・歯髄壊死・歯肉退縮などが一般的なリスクと副作用です。

症例30 上下顎前突 Angle Cl. II 歯科矯正用アンカースクリュー

・治療前

・治療中

・治療後

①主訴 歯ならびが悪い

②診断名 前歯部叢生を伴う上下顎前突 Angle Cl. II

③年齢 30代女性

④治療に用いた主な装置 上顎:表側の装置、下顎:表側の装置 歯科矯正用アンカースクリュー(アブソアンカー)

⑤抜歯部位 上顎:左側第二小臼歯 右側第一小臼歯 下顎:左側第二小臼歯 右側第一小臼歯

⑥治療期間 2年6か月

⑦治療費 850,000円

⑧リスク副作用 痛み・治療後の後戻り・歯根吸収・歯髄壊死・歯肉退縮などが一般的なリスクと副作用です。

症例29 上下顎前突 Angle Cl. I ハーフリンガル

・治療前

・治療中

・治療後

①主訴 歯ならびが悪い

②診断名 前歯部叢生を伴う上下顎前突 Angle Cl. I

③年齢 20代女性

④治療に用いた主な装置 ハーフリンガル(上顎:裏側の装置、下顎:表側の装置)

⑤抜歯部位 上顎:左右第一小臼歯 下顎:左右第一小臼歯

⑥治療期間 1年8か月

⑦治療費 1,150,000円

⑧リスク副作用 痛み・治療後の後戻り・歯根吸収・歯髄壊死・歯肉退縮などが一般的なリスクと副作用です。

症例28 上下顎前突 Angle Cl. I

・治療前

・治療中

・治療後

①主訴 歯ならびが悪い

②診断名 前歯部叢生を伴う上下顎前突 Angle Cl. I

③年齢 20代女性

④治療に用いた主な装置 上顎:表側の装置、下顎:表側の装置

⑤抜歯部位 上顎:左右第一小臼歯 下顎:左右第一小臼歯

⑥治療期間 1年10か月

⑦治療費 850,000円

⑧リスク副作用 痛み・治療後の後戻り・歯根吸収・歯髄壊死・歯肉退縮などが一般的なリスクと副作用です。

症例27 重度叢生症例

・治療前

・治療中

・治療後

①主訴 歯ならびが悪い

②診断名 前歯部叢生 Angle Cl. I

③年齢 20代女性

④治療に用いた主な装置 上顎:表側の装置 下顎:表側の装置

⑤抜歯部位 上顎:左右第一小臼歯 下顎:左右第一小臼歯

⑥治療期間 1年5か月

⑦治療費 850,000円

⑧リスク副作用 痛み・治療後の後戻り・歯根吸収・歯髄壊死・歯肉退縮などが一般的なリスクと副作用です。

症例26 前歯部開咬

・治療前

・治療中

・治療後

①主訴 歯ならびが悪い

②診断名 前歯部叢生を伴う開咬 Angle Cl. I

③年齢 10代女性

④治療に用いた主な装置 上顎:表側の装置、下顎:表側の装置

⑤抜歯部位 上顎:左右第一小臼歯 下顎:左右第一小臼歯

⑥治療期間 1年8か月

⑦治療費 850,000円

⑧リスク副作用 痛み・治療後の後戻り・歯根吸収・歯髄壊死・歯肉退縮などが一般的なリスクと副作用です。

症例25 癒合歯、先天性欠損を伴う上顎前突症例

・治療前

・治療中

・治療後

①主訴 出っ歯

②診断名 上顎前突 Angle Cl. I

③年齢 20代女性

④治療に用いた主な装置 上顎:表側の装置 下顎:表側の装置 歯科矯正用アンカースクリュー(PLAS)

⑤抜歯部位 上顎:左右第二大臼歯 下顎:非抜歯

⑥治療期間 2年9か月

⑦治療費 850,000円

⑧リスク副作用 痛み・治療後の後戻り・歯根吸収・歯髄壊死・歯肉退縮などが一般的なリスクと副作用です。

症例24 フルリンガル 3 incisor

・治療前

・治療中

・治療後

①主訴 歯ならびが悪い 出っ歯

②診断名 前歯部叢生 Angle Cl. I 下顎3 incisor

③年齢 10代男性

④治療に用いた主な装置 フルリンガル(上顎:裏側の装置、下顎:裏側の装置)

⑤抜歯部位 上顎:左右第一小臼歯 下顎:非抜歯

⑥治療期間 2年4か月

⑦治療費 1,450,000円

⑧リスク副作用 痛み・治療後の後戻り・歯根吸収・歯髄壊死・歯肉退縮などが一般的なリスクと副作用です。

症例23 フルリンガル 口もとを下げる

・治療前

・治療中

・治療後

①主訴 口もとを下げたい

②診断名 前歯部叢生 Angle Cl. II

③年齢 20代女性

④治療に用いた主な装置 フルリンガル(上顎:裏側の装置、下顎:裏側の装置) 歯科矯正用アンカースクリュー(PLAS)

⑤抜歯部位 上顎:左右第一小臼歯 下顎:左右第一小臼歯

⑥治療期間 2年9か月

⑦治療費 1,450,000円

⑧リスク副作用 痛み・治療後の後戻り・歯根吸収・歯髄壊死・歯肉退縮などが一般的なリスクと副作用です。