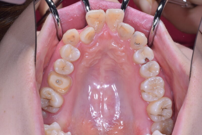
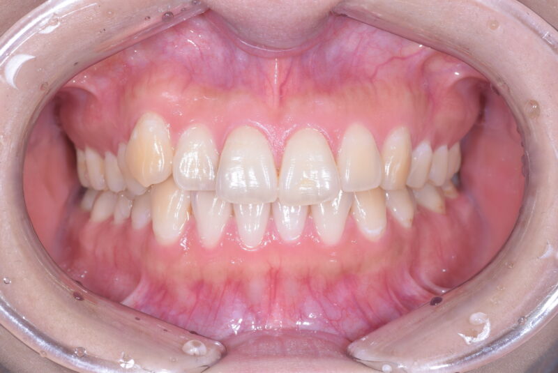
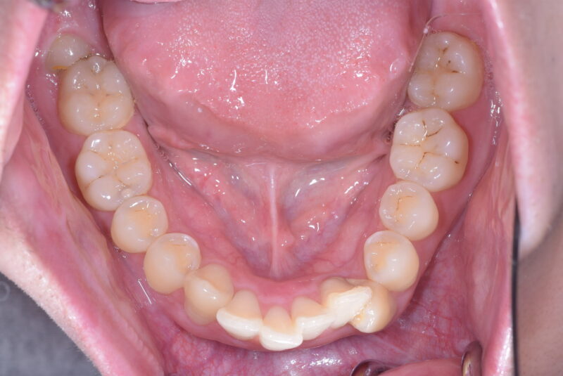
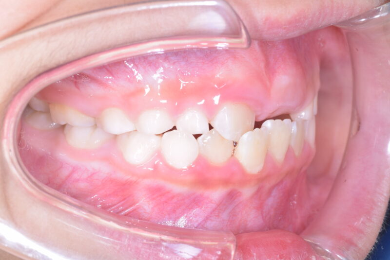
症例22 叢生症例

・治療前

・治療中

・治療後

①主訴 歯ならびが悪い

②診断名 前歯部叢生 Angle Cl. I

③年齢 10代女性

④治療に用いた主な装置 上顎:表側の装置、下顎:表側の装置

⑤抜歯部位 上顎:左右第一小臼歯 下顎:左右第一小臼歯

⑥治療期間 1年10か月

⑦治療費 850,000円

⑧リスク副作用 痛み・治療後の後戻り・歯根吸収・歯髄壊死・歯肉退縮などが一般的なリスクと副作用です。

症例21 ハーフリンガル 上下顎前突症例

・治療前

・治療中

・治療後

①主訴 口もとを下げたい

②診断名 叢生を伴う上下顎前突 Angle Cl. I

③年齢 20代女性

④治療に用いた主な装置 ハーフリンガル(上顎:裏側の装置、下顎:表側の装置)

⑤抜歯部位 上顎:左右第一小臼歯 下顎:左右第二小臼歯

⑥治療期間 2年6か月

⑦治療費 1,150,000円

⑧リスク副作用 痛み・治療後の後戻り・歯根吸収・歯髄壊死・歯肉退縮などが一般的なリスクと副作用です。

症例20 上下顎前突 Angle Cl. II症例 歯科矯正用アンカースクリューなし

・治療前

・治療中

・治療後

①主訴 歯ならびが悪い

②診断名 前歯部叢生を伴う上下顎前突 Angle Cl. II

③年齢 20代女性

④治療に用いた主な装置 上顎:表側の装置 下顎:表側の装置

⑤抜歯部位 上顎:左右第一小臼歯、左右第一大臼歯 下顎:左右第一小臼歯

⑥治療期間 2年10か月

⑦治療費 850,000円

⑧リスク副作用 痛み・治療後の後戻り・歯根吸収・歯髄壊死・歯肉退縮などが一般的なリスクと副作用です。

症例19 子どもの矯正治療 反対咬合

・治療前

・治療中

・治療後

①主訴 受け口

②診断名 前歯部反対咬合 Angle Cl. I

③年齢 7歳男子

④治療に用いた主な装置 リンガルアーチ

⑤抜歯部位

⑥治療期間 3か月移動し、反対咬合改善。その後、永久歯交換を観察中。

⑦治療費 450,000円

⑧リスク副作用 痛み・治療後の後戻り・歯根吸収・歯髄壊死・歯肉退縮などが一般的なリスクと副作用です。

症例18 歯科矯正用アンカースクリュー 叢生症例

・治療前

・治療中

・治療後

①主訴 歯ならびが悪い

②診断名 前歯部叢生 Angle Cl. II

③年齢 20代女性

④治療に用いた主な装置 上顎:表側の装置 下顎:表側の装置、歯科矯正用アンカースクリュー(PLAS)

⑤抜歯部位 上顎:左右第一小臼歯 下顎:左右第一小臼歯

⑥治療期間 1年10か月

⑦治療費 850,000円

⑧リスク副作用 痛み・治療後の後戻り・歯根吸収・歯髄壊死・歯肉退縮などが一般的なリスクと副作用です。

症例17 ハーフリンガル 非抜歯 叢生症例

・治療前

・治療中

・治療後

①主訴 歯ならびが悪い

②診断名 前歯部叢生 Angle Cl. I

③年齢 10代女性

④治療に用いた主な装置 ハーフリンガル(上顎:裏側の装置 下顎:表側の装置)

⑤抜歯部位 上顎:非抜歯 下顎:非抜歯

⑥治療期間 1年6か月

⑦治療費 1,150,000円

⑧リスク副作用 痛み・治療後の後戻り・歯根吸収・歯髄壊死・歯肉退縮などが一般的なリスクと副作用です。

症例16 フルリンガル上顎前突症例

・治療前

・治療中

・治療後

①主訴 出っ歯

②診断名 上顎前突 Angle Cl. II

③年齢 20代男性

④治療に用いた主な装置 フルリンガル(上顎:裏側の装置 下顎:裏側の装置)

⑤抜歯部位 上顎:左右第一小臼歯 下顎:非抜歯

⑥治療期間 3年2か月

⑦治療費 1,450,000円

⑧リスク副作用 痛み・治療後の後戻り・歯根吸収・歯髄壊死・歯肉退縮などが一般的なリスクと副作用です。

症例15 フルリンガル 歯科矯正用アンカースクリュー 叢生を伴う上顎前突症例

・治療前

・治療中

・治療後

①主訴 歯ならびが悪い

②診断名 前歯部叢生を伴う上顎前突 Angle Cl. II

③年齢 20代女性

④治療に用いた主な装置 フルリンガル(上顎:裏側の装置 下顎:裏側の装置) 歯科矯正用アンカースクリュー(PLAS)

⑤抜歯部位 上顎:左右第一小臼歯 下顎:左右第一小臼歯

⑥治療期間 2年6か月

⑦治療費 1,450,000円

⑧リスク副作用 痛み・治療後の後戻り・歯根吸収・歯髄壊死・歯肉退縮などが一般的なリスクと副作用です。

症例14 上下全体的な叢生症例

・治療前

・治療中

・治療後

①主訴 歯ならびが悪い

②診断名 前歯部叢生 Angle Cl. II

③年齢 20代女性

④治療に用いた主な装置 上顎:表側の装置、下顎:表側の装置

⑤抜歯部位 上顎:左右第一小臼歯 下顎:左側第二小臼歯

⑥治療期間 1年6か月

⑦治療費 850,000円

⑧リスク副作用 痛み・治療後の後戻り・歯根吸収・歯髄壊死・歯肉退縮などが一般的なリスクと副作用です。

症例13 八重歯のある前歯部叢生症例

・治療前

・治療中

・治療後

①主訴 歯ならびが悪い

②診断名 前歯部叢生 Angle Cl. II

③年齢 20代女性

④治療に用いた主な装置 上顎:表側の装置、下顎:表側の装置

⑤抜歯部位 上顎:左右第一小臼歯 下顎:左右第二小臼歯

⑥治療期間 2年8か月

⑦治療費 850,000円

⑧リスク副作用 痛み・治療後の後戻り・歯根吸収・歯髄壊死・歯肉退縮などが一般的なリスクと副作用です。