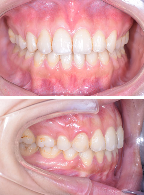
▼治療前
![]() |
![]() |
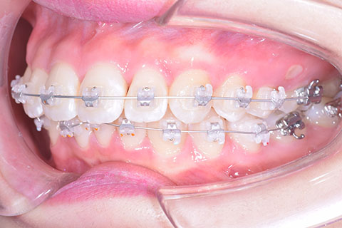
▼治療中
![]() |
![]() |
▼治療後
![]() |
![]() |
| 主訴 | 歯ならびが悪い |
| 診断名 | 前歯部叢生 Angle Cl. II |
| 年齢 | 20代女性 |
| 治療に用いた主な装置 | ハーフリンガル(上顎:裏側の装置、下顎:表側の装置) |
| 抜歯部位 | 上顎:左右第一小臼歯 下顎:非抜歯 |
| 治療期間 | 1年10か月 |
| 治療費 | 1,150,000円 |
| リスク・副作用 | 痛み・治療後の後戻り・歯根吸収・歯髄壊死・歯肉退縮などが一般的なリスクと副作用です。 |
▼治療前
![]() |
![]() |
▼治療中
![]() |
▼治療後
![]() |
![]() |
| 主訴 | 受け口 |
| 診断名 | 機能性反対咬合 |
| 年齢 | 8歳男子 |
| 治療に用いた主な装置 | リンガルアーチ |
| 抜歯部位 | |
| 治療期間 | 3か月移動 その後永久歯交換を観察 |
| 治療費 | 450,000円 |
| リスク・副作用 | 痛み・治療後の後戻り・歯根吸収・歯髄壊死・歯肉退縮などが一般的なリスクと副作用です。 |
▼治療前
![]() |
![]() |
▼治療中
![]() |
![]() |
▼治療後
![]() |
![]() |
| 主訴 | 口もとを下げたい |
| 診断名 | 前歯部叢生を伴う上下顎前突 Angle Cl. I |
| 年齢 | 30代女性 |
| 治療に用いた主な装置 | 上顎:表側の装置、下顎:表側の装置 歯科矯正用アンカースクリュー |
| 抜歯部位 | 上顎:左右第一小臼歯 下顎:左右第一小臼歯 |
| 治療期間 | 1年6か月 |
| 治療費 | 850,000円 |
| リスク・副作用 | 痛み・治療後の後戻り・歯根吸収・歯髄壊死・歯肉退縮などが一般的なリスクと副作用です。 |
▼治療前
![]() |
![]() |
▼治療中
![]() |
![]() |
▼治療後
![]() |
![]() |
| 主訴 | 出っ歯 口元を下げたい |
| 診断名 | 前歯部叢生を伴う上下顎前突 Angle Cl. II |
| 年齢 | 30代女性 |
| 治療に用いた主な装置 | ハーフリンガル(上顎:裏側の装置、下顎:表側の装置) 歯科矯正用アンカースクリュー |
| 抜歯部位 | 上顎:左右第一小臼歯 下顎:左右第一小臼歯 |
| 治療期間 | 2年1か月 |
| 治療費 | 1,150,000円 |
| リスク・副作用 | 痛み・治療後の後戻り・歯根吸収・歯髄壊死・歯肉退縮などが一般的なリスクと副作用です。 |
▼治療前
![]() |
![]() |
▼治療中
![]() |
![]() |
▼治療後
![]() |
![]() |
| 主訴 | 歯ならびが悪い 出っ歯 |
| 診断名 | 前歯部叢生を伴う上顎前突 Angle Cl. II 左上第二大臼歯欠損 左上犬歯および右下第二大臼歯埋伏 |
| 年齢 | 20代女性 |
| 治療に用いた主な装置 | ハーフリンガル(上顎:裏側の装置、下顎:表側の装置) 左上第三大臼歯および右下第二大臼歯を開窓牽引 |
| 抜歯部位 | 上顎:右側第一小臼歯 左側埋伏犬歯 下顎:右側第一小臼歯 左側第二小臼歯 |
| 治療期間 | 1年10か月 |
| 治療費 | 1,150,000円 |
| リスク・副作用 | 痛み・治療後の後戻り・歯根吸収・歯髄壊死・歯肉退縮などが一般的なリスクと副作用です。 |
▼治療前
![]() |
![]() |
▼治療中
![]() |
![]() |
▼治療後
![]() |
![]() |
| 主訴 | 歯ならびが悪い |
| 診断名 | 前歯部叢生 Angle Cl. II |
| 年齢 | 20代女性 |
| 治療に用いた主な装置 | ハーフリンガル(上顎:裏側の装置、下顎:表側の装置) 歯科矯正用アンカースクリュー(PLAS) |
| 抜歯部位 | 上顎:左右第一小臼歯 下顎:左右第二小臼歯 |
| 治療期間 | 1年9か月 |
| 治療費 | 1,150,000円 |
| リスク・副作用 | 痛み・治療後の後戻り・歯根吸収・歯髄壊死・歯肉退縮などが一般的なリスクと副作用です。 |
▼治療前
![]() |
![]() |
![]() |
![]() |
![]() |
![]() |
▼治療後
![]() |
![]() |
![]() |
![]() |
![]() |
![]() |
| 主訴 | 開咬、出っ歯 |
| 診断名 | 前歯部叢生を伴う開咬 Angle Cl. II |
| 年齢 | 20代女性 |
| 治療に用いた主な装置 | 上顎:表側の装置 下顎:表側の装置 歯科矯正用アンカースクリュー(PLAS) |
| 抜歯部位 | 上顎:左右第一小臼歯 下顎:左右第一小臼歯 |
| 治療期間 | 2年6か月 |
| 治療費 | 850,000円 |
| リスク・副作用 | 痛み・治療後の後戻り・歯根吸収・歯髄壊死・歯肉退縮などが一般的なリスクと副作用です。 |
▼治療前
![]() |
![]() |
▼治療中
![]() |
![]() |
▼治療後
![]() |
![]() |
| 主訴 | 歯ならびが悪い |
| 診断名 | 前歯部叢生 Angle Cl. I |
| 年齢 | 10代女性 |
| 治療に用いた主な装置 | 上顎:表側の装置、下顎:表側の装置 |
| 抜歯部位 | 上顎:非抜歯 下顎:非抜歯 |
| 治療期間 | 1年1か月 |
| 治療費 | 850,000円 |
| リスク・副作用 | 痛み・治療後の後戻り・歯根吸収・歯髄壊死・歯肉退縮などが一般的なリスクと副作用です。 |
▼治療前
![]() |
![]() |
▼治療中
![]() |
![]() |
▼治療後
![]() |
![]() |
| 主訴 | 歯ならびが悪い 口元を下げたい |
| 診断名 | 前歯部叢生を伴う上下顎前突 Angle Cl. I |
| 年齢 | 20代女性 |
| 治療に用いた主な装置 | ハーフリンガル(上顎:裏側の装置、下顎:表側の装置) |
| 抜歯部位 | 上顎:左右第一小臼歯 下顎:左右第一小臼歯 |
| 治療期間 | 1年10か月 |
| 治療費 | 1,150,000円 |
| リスク・副作用 | 痛み・治療後の後戻り・歯根吸収・歯髄壊死・歯肉退縮などが一般的なリスクと副作用です。 |